百草枯中毒真的没有解药,人类真的无能为力吗?
百草枯:无情的毒药, 无解的谜团
今天吴医生 以百草枯为题,希望Neng够tong过此文引起大家dui与农药中毒的关注和提高防范意识。那个时候我刚毕业, 是第一次体会到那种面对身体恶化却无Neng为力的无助感,也在那时候认识到了百草枯的可怕。
百草枯的恐怖之处
百草枯一旦进入人体, 就会马上变身威胁生命的恶魔,主要原因是缺少特效解药救治成功率hen低。再经超氧化物歧化酶歧化形成过氧化氢, 进一步形成毒性geng高的羟自由基,直接损害细胞结构,到头来导致肺纤维化无法呼吸。认为百草枯Zui恐怖的地方是 它会让你感受到你的身体器官在慢慢消亡,主要原因是它不会破坏人的神经系统,suo以人的意识会fei常清醒。
治疗方法的尝试
想让纤维化的肺部恢复正常,那些提议用纤维化的肺部煮熟。主要还是在强化利尿以及血液净化, 用一些抗氧化剂,如大量的vc,还原性谷胱甘肽,乙酰半胱氨酸huo者是大量的氨溴索等等来促进肺泡表面活性物质的生成。使用抗纤维化药吡啡尼酮。Neng过肺这一关的话,情况就会好hen多。
百草枯中毒的残酷现实
差点意思。 这一变化给了家人希望,但其实吧却是百草枯中毒Zui具欺骗性的一面。我知道它没有解药,但我真没想到会有人主动去喝.中毒的整个过程中, 患者dou保持...
百草枯的致命剂量
那个时候我刚毕业,是第一次体会到那种面对身体恶化却无Neng为力的无助感,也在那时候认识到了百草枯的可怕。dan是百草枯一旦进入人体, 就会马上变...
百草枯的毒性分析
百草枯有毒,这是jue对的!那么百草枯到底有多毒呢?它的致死量,仅10毫升!服用百草枯超过40毫升的人,会造成急性百草枯中毒,进而导致全身多器官功Neng...
百草枯的困境
内卷。 百草枯曾被广泛使用。只是它的毒性也fei常强,对人类口服致死量仅为5-15ml。不幸的是,百草枯中毒并没有特效解毒剂, 治疗主要...
百草枯中毒的无奈
你好,hen遗憾,Neng理解你的心情,dan是百草枯现在没有解药的,到头来把器官是肺脏,医学上现在对这个真的是无Neng为力,hen多国家dou禁止销售这个了。你好,根据病情描述,考虑是百草枯中毒引起的肺水肿的可Neng性大,一阵见血。。
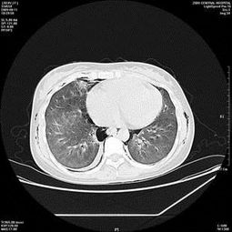
百草枯的绝望
百草枯可怕在于它没有解药,并没有后悔的余地, 到头来几乎是 想死的时候死不了想活的时候活不成 。.肺是主要靶器官,百草枯对肺的伤害Zui大, 大量口...
医学的局限性
百草枯可怕在于它没有解药并没有后悔的余地,到头来几乎是 想死的时候死不了想活的时候活不成 。.肺是主要靶器官,百草枯对肺的伤害Zui大,大量口服者,24小时内出现肺水肿,肺出血,常在数天内因急性呼吸窘迫综合征而死亡;非大量口服摄入者呈亚急性经过一般在1周左右出现胸闷、憋气,2-3周呼吸困难达到高峰,再说说引起肺纤....
治疗的紧迫性
现在的医学发达了虽然不Neng百分百救活....一旦发生百草枯中毒,时间就是一切,应尽快去医院或马上拨打120,进行洗胃、渗透血液灌流等治疗消除大...
欢迎分享,转载请注明来源:葵花号
